

本文1911字 阅读4分钟
声明:本文内容均是根据权威医学资料结合个人观点撰写的原创内容,文末已标注文献来源,为了方便大家阅读理解,部分故事情节存在虚构成分,意在科普健康知识,如有身体不适请线下就医。
“冠心病治好了,是不是就没事了?”
很多人做完支架、吃完药,觉得心脏已经“修好”,从此无忧。可现实是,冠心病不是感冒,治一次就彻底结束。它像个沉默的“定时炸弹”,一旦松懈,复发随时可能发生。
中国每年死于冠心病的人超过100万人,其中大部分是反复发作、控制不良导致的严重后果。那该怎么做,才能让这颗“炸弹”永不引爆?

其实,医生早就给出答案:定期做3个关键检查,复发风险能大大降低。今天我们就把这件事讲清楚,帮你少走弯路。
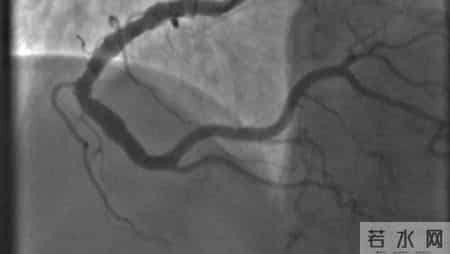
第一项:冠状动脉CT造影——看清血管堵没堵很多人以为只有胸痛了,才需要查心脏。但实际上,冠心病的可怕之处在于“无症状”。
冠状动脉CT造影(CTA)是一项无创检查,能清晰看到心脏血管有没有斑块、狭窄,甚至提前发现“未来可能堵住”的地方。
有一项发表在《中华心血管病杂志》的研究显示:超过60%的冠心病患者,在CTA发现明显狭窄前,并没有任何不适感。也就是说,等到你胸口闷了,可能已经堵了七八成。
所以,即使没有症状,只要你是高危人群,比如曾经得过冠心病、做过支架、三高患者或家族有心脏病史,就应该定期做CTA,早发现,早处理。
第二项:血脂四项+小而密LDL——查清斑块“原材料”
动脉为什么会堵?来源就是血脂异常。
我们都知道胆固醇高不好,但其实光看一个“总胆固醇”远远不够。真正需要关注的是:
低密度脂蛋白胆固醇(LDL-C),这是制造动脉斑块的“主犯”;
小而密LDL,这是被称为“隐形杀手”的一种特殊脂蛋白,穿透力强,更容易“粘”在血管壁上;
高密度脂蛋白(HDL-C),这是“清道夫”,能把胆固醇带走。
研究表明,小而密LDL升高的人,即使LDL-C正常,仍有较高的冠心病风险。但很多地方的体检报告里,并没有这项指标。
所以,别只看总胆固醇,要查全套血脂,特别是小而密LDL。如果这项高了,即使其他都正常,也要引起警惕,听从医生用药建议。
第三项:高敏C反应蛋白(hs-CRP)——看炎症活跃不活跃
你可能想不到,炎症反应在冠心病里起着“幕后推手”的作用。
高敏C反应蛋白是一种炎症标志物,数值升高说明血管内壁正在发炎,容易让斑块变得“不稳定”,一旦破裂,就可能引发心梗。
《柳叶刀》曾发表一项跨国研究,发现hs-CRP水平高的人,哪怕血脂不高,也更容易发生心血管事件。
这就好比两辆老旧汽车,一辆虽然锈迹斑斑但静静停着没事,另一辆看着还行但已经“起火”了——hs-CRP能告诉你,哪辆车正在冒烟。
所以,每年查一次hs-CRP,能帮助医生判断你现在是否安全,是否需要调整用药或生活方式。
只靠药,不查病,等于“闭着眼开车”
很多人以为吃了阿司匹林、他汀,就万事大吉。但药物只是控制手段,真正决定能不能“活得久、活得好”的,是你有没有掌握这些“监控指标”。
就像开车要看油量、刹车、方向盘一样,血脂、CTA、hs-CRP就是冠心病人的“仪表盘”。不查这些数据,就相当于闭着眼开车,总有一天会出事。
冠心病不是“治愈”,而是“管理”很多患者会问医生:“我支架做完了,还要继续吃药吗?”“我感觉挺好,还用查这些指标吗?”
答案是:必须继续,而且终身管理。

冠心病的本质是动脉粥样硬化,这是一种“慢性进行性疾病”,不会因为一次手术或一段时间吃药就彻底消失。它像杂草一样,你不定时清理,就会卷土重来。
所以,定期做检查不是多余,而是必须。有些风险是“看不见”的,只有数据能告诉你真相。
三种人尤其要警惕复发风险如果你属于这几类,一定要更加重视定期体检,防患于未然。
写在最后:查得明白,活得安心 
冠心病不是绝症,但它需要你用一辈子的耐心去管理。
定期做CTA、血脂、小而密LDL和hs-CRP,能让你看清血管有没有在变坏,让医生及时帮你调整方案,远离复发。
别等到心梗来袭,才追悔莫及。
一份检查,换一辈子安心,这笔账,算得太值了。
参考文献:
《中国心血管健康与疾病报告2022》. 国家心血管病中心.
《动脉粥样硬化防治指南(2023年修订版)》. 中华医学会心血管病分会.
感谢关注!有你在,我们会变得更好!
本站是社保查询公益性网站链接,数据来自各地人力资源和社会保障局,具体内容以官网为准。
定期更新查询链接数据 苏ICP备17010502号-11