经常感觉到反酸、烧心……
很多人以为是肠胃问题
然而
这背后可能藏着一个
鲜为人察觉的健康隐患
小伙半个胃“钻”到胸腔里
近日,中山六院的周太成医生接诊了一位自述经常感觉消化不良的患者。该名男子林先生(化名)28岁,长期被反酸、嗳气、烧心等症状困扰,一直以为只是普通胃病,不舒服就去消化内科开药,每次吃药都有所改善,每年全身体检也并未发现异常,因此没进一步排查。
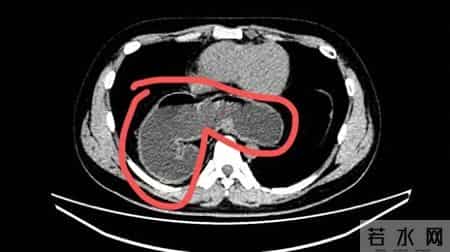
直到去年10月,因为反复咳嗽不止并出现迁延不愈的肺炎,林先生在当地医院就诊,肺部CT检查中发现:一部分的胃竟然“跑”进了胸腔里!

影像资料显示,小伙子的部分胃通过食管裂孔疝“逃跑”至胸腔。
由于情况复杂,林先生来到了中山六院疝与腹壁外科就诊。经胃镜检查明确诊断,他患的是食管裂孔疝合并反流性食管炎,且伴有胃扭转。经微创手术,术后三天林先生顺利出院。
为什么胃可以跑到胸腔里?
对此,周太成解析,在人体的胸腔和腹腔之间有一层扁平肌肉——膈肌,中间有一个专门让食管穿过的天然孔洞,这个孔洞便是食管裂孔。当食管裂孔异常扩大时,原本待在腹腔的胃甚至与胃部连接的肠、脾脏等都可能发生转移,挤进了人体上部的胸腔处,形成食管裂孔疝。形成食管裂孔疝后,一方面胃酸容易出现反流,引发烧心、胀气等不适症状,另一方面腹腔的器官容易发生“位移”,影响器官正常的工作,部分位移器官例如胃部甚至发生扭转,导致人体无法正常进食。
与不良的生活习惯有关
经了解,林先生虽然年轻,但是拥有多年的不良生活习惯史,“平时会抽烟、喝酒,每次喝白酒6、7两,一周两次或者更多。晚上睡得也比较晚,2、3点才睡,还爱吃宵夜。”
除了老年人因为机体退化、肌肉变薄导致食管裂孔变大外,不良的生活习惯也会诱发这一疾病。“中青年人出现‘疝’可能是长期受到刺激的结果,例如长期抽烟、喝酒、喝咖啡、吃辣食、熬夜、饮食不规律等行为会持续刺激消化道,或者是肥胖的人群,腹压较大,慢慢地将正常的食管裂孔撑大,导致‘门’或者‘门框’松了,逐步形成食管裂孔疝。”周太成表示。
长期消化不良
应考虑排查这一疾病
“吃饱饭了以后,如果感觉到反酸、烧心,我们把它叫胃食管反流,大家都很容易忽略它,觉得不是什么大事。”医生提醒,对于长期有消化不良症状,例如反酸、烧心情况,除了排查消化道疾病,也需考虑排查人体内部是否形成了食管裂孔疝导致症状的出现。
需要提醒的是,严重的食管裂孔疝可导致无法进食,这一情况多见于高龄的老年人,有的人甚至误以为是“大限将至”。实际上,对于这一良性疾病,通过微创手术可以根治,高龄也并非手术禁忌。
文/广州日报新花城记者:梁超仪 通讯员:张源泉、张婷婷、刘山青
(版权归属原作者 如有侵权请联系删除)
kk
本站是社保查询公益性网站链接,数据来自各地人力资源和社会保障局,具体内容以官网为准。
定期更新查询链接数据 苏ICP备17010502号-11